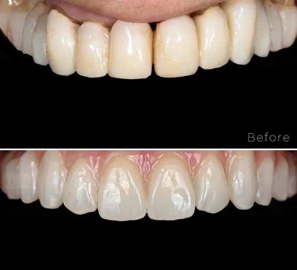
Pentru pacientul nostru, Adrian P. (44 de ani), începe un nou capitol — unul în care zâmbetul îi oferă mai multă încredere, confort și echilibru.
Scanarea digitală 4D ModJaw a avut un rol esențial în adaptarea ocluziei, prin analizarea mișcărilor mandibulare reale și ajustarea mușcăturii cu precizie. Această etapă ne-a permis să obținem un rezultat stabil, armonios și personalizat pentru nevoile pacientului.


Planul de tratament a inclus: ➝ Sistemul Straumann ProArch® cu 6 implanturi dentare Roxolid/SLActive pentru fiecare arcadă, ➝ Tehnologia ModJaw 4D pentru analiza ocluziei dinamice, ➝ Lucrări protetice finale tip All-on-4®, cu infrastructură din titan și coroane din zirconiu.


Dr. Dan Straja
Implantologie & Protetică Dentară
Completează formularul și unul dintre asistenții noștri te va contacta pentru a programa vizita la clinică sau o consultație online.