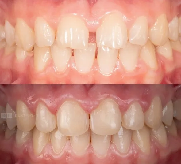
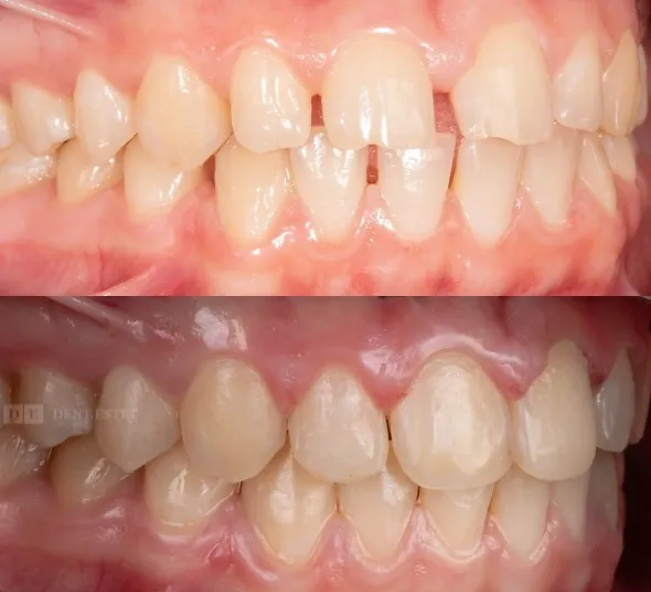
Reabilitarea acestui caz a vizat corectarea anomaliilor de poziție și a spațierilor dentare, cu obiectivul central de a restabili echilibrul funcțional și sănătatea parodontală. Strategia terapeutică a fost definită de necesitatea unei redistribuiri precise a spațiilor interdentare, creând astfel suportul biomecanic optim pentru restaurarea finală.
Prima etapă a tratamentului a integrat tehnologia digitală, utilizând gutiere transparente pentru o ghidare ortodontică discretă și predictibilă. Această fază a permis alinierea arcadelor și stabilirea unei ocluzii funcționale, pregătind substratul dentar pentru intervenția estetică minim invazivă.
Finalizarea cazului a fost realizată prin restaurări din compozit prin metodă directă, o tehnică de precizie care a permis închiderea diastemei. Rezultatul final reflectă viziunea echipei noastre: un zâmbet radiant, echilibrat digital și integrat perfect în fizionomia pacientei.


Ședință completă de profilaxie
Analiză digitală a ocluziei dinamice 4D
ModJaw
Amprendă digitală
Scanare intraorală 3D 3Shape Trios
Tratament ortodontic
cu alignere
Obturație dinte frontal-compozit
Dr. Ștefan Ciobanu
Medic Spcialist Ortodonție și Ortopedie Dento-Facială
Dr. Nica Rareș
Medic Protetică Dentară
Dr. Anamaria Ghiurcă
Medic Specialist Parodontologie
Completează formularul și unul dintre asistenții noștri te va contacta pentru a programa vizita la clinică sau o consultație online.