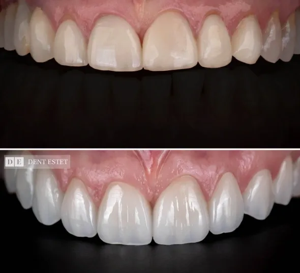
Pentru noi, zâmbetul este cel mai puternic testimonial. Transformarea spectaculoasă a Adrianei F. este rezultatul unei relații de încredere și al unei colaborări strânse, prin care am transpus în realitate dorințele ei.
Obiectivul central al acestui tratament a fost crearea unei armonii perfecte. Am analizat cu atenție proporțiile faciale ale Adrianei și am modelat forma, lungimea și orientarea dinților, pentru a-i evidenția frumusețea naturală. Nu ne-am oprit aici, am tratat și aspectele funcționale, inclusiv bruxismul.


Rezultatul de astăzi, care o încântă pe Adriana, a fost obținut în doar două luni. Tratamentele aplicate au inclus: îndepărtarea fațetelor vechi cu laserul Waterlase; fațete dentare PREMIUM Emax ASPEN Digital Smile Design; coroane dentare PREMIUM Zirconiu - ASPEN Digital Smile Design.
Această transformare estetică a fost realizată cu dedicare de Dr. Dana Georgescu, alături de contribuția valoroasă a Dr. Anamaria Ghiurcă și a laboratorului de tehnică dentară digitală Aspen.


Amprentă digitală scanner
Trios 3Shape
Analiză digitală a ocluziei dinamice 4D
ModJaw Technology
Previzualizarea zâmbetului final
Digital Smile Design - DSD
Îndepărtare lucrări protetice existente cu laserul
WaterLase
Tratament albire dentară profesională
BEYOND Ultra Whitening Accelerator
Fațete PREMIUM EMAX
ASPEN Digital Smile Design
Coroane PREMIUM Zirconiu
ASPEN Digital Smile Design
Dr. Daniela Georgescu
Medic Expert - Estetică Dentară Avansată
Dr. Anamaria Ghiurcă
Medic Specialist - Parodontologie
Dr. Vlad Glodeanu
Estetică Dentară
Th. Pavel Ciulin
MDT – CDT – Expert Designer ASPEN
Completează formularul și unul dintre asistenții noștri te va contacta pentru a programa vizita la clinică sau o consultație online.