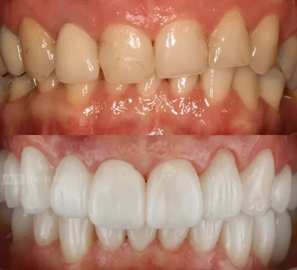
Zâmbetul doamnei Alina a trecut printr-o metamorfoză completă, redobândind echilibrul estetic și funcțional pe care pacienta și-l dorea. Succesul acestei reabilitări complexe se datorează unei strategii multidisciplinare, menite să restabilească nu doar frumusețea danturii, ci și sănătatea generală a sistemului masticator. Planificarea digitală a permis integrarea armonioasă a noilor structuri dentare, respectând proporțiile naturale ale chipului. Prima etapă a tratamentului a vizat alinierea biomecanică a dinților cu ajutorul aparatului dentar din Safir, o soluție discretă și eficientă pentru pregătirea spațiilor necesare restaurării. Ulterior, zonele edentate au fost reconstruite cu ajutorul implanturilor Nobel Biocare®, recunoscute la nivel mondial pentru stabilitatea excepțională și integrarea biologică rapidă. Finalizarea estetică a fost realizată prin aplicarea de coroane și fațete dentare PREMIUM, care redau textura și translucența naturală a smalțului.


Amprentă digitală cu scanner intraoral
Trios 3Shape
Analiza digitală a ocluziei 4D
ModJaw
Ședință completă de profilaxie
BRIGHT&WHITE
Chiuretaj subgingival
Laser Waterlase
Tratament ortodontic
brackeți fizionomici
Adiție Bio-Os
Membrană Bio Gide
Implanturi dentare
Nobel Biocare
Coaroane PREMIUM
ASPEN Digital Smile Design
Dr. Ana Kertesz
Medic Stomatolog- Estetică Dentară
Completează formularul și unul dintre asistenții noștri te va contacta pentru a programa vizita la clinică sau o consultație online.