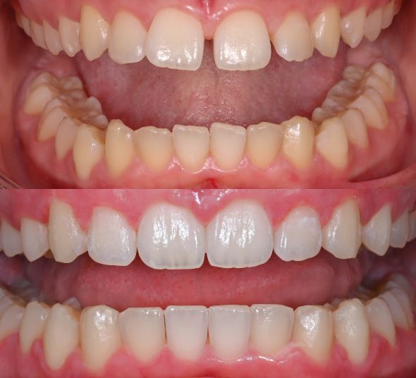
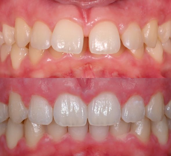
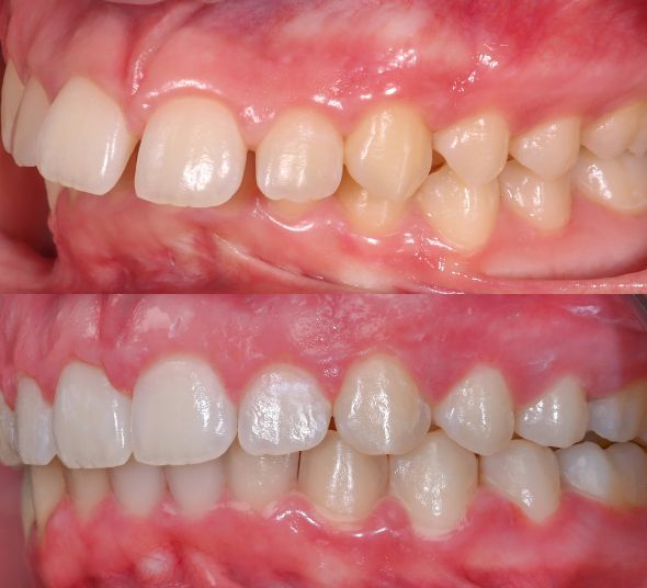
Acesta este zâmbetul care reflectă cu adevărat echilibrul pacientei noastre, construit pas cu pas cu atenție la detalii, păstrând naturalețea fiecărei expresii. Tratamentul ortodontic a început într-un moment cheie al dezvoltării, când intervențiile fine pot ghida armonios evoluția arcadelor și poziția dinților.


Fiecare adolescent are propriile provocări atunci când vine vorba despre zâmbetul său. La evaluare, s-a observat că poziția dinților frontali afecta subtil echilibrul facial și expresivitatea zâmbetului, un detaliu corectat treptat, cu delicatețe și precizie. După o evaluare atentă, dr. Liana Andruseac, medic specialist în Ortodonție și Ortopedie Dento-Facială, a conturat un plan de tratament adaptat contextului individual, care să răspundă atât nevoilor estetice, cât și celor funcționale. O abordare care demonstrează că ortodonția modernă nu înseamnă perfecțiune impusă, ci simetrie personalizată.


Întregul proces ortodontic s-a desfășurat pe parcursul a aproximativ doi ani, iar tratamentul cu alignere a durat 13 luni. În prima etapă a avut loc corectarea discrepanțelor dintre maxilare și ghidarea creșterii pentru obținerea unui raport facial echilibrat. Etapa doi a constat din alinierea dentară cu ajutorul alignerelor și perfecționarea ocluziei cu o soluție modernă, discretă și confortabilă.


Pentru echipa medicală, acest caz ilustrează cât de important este ca planul de tratament să fie adaptat fiecărui pacient - cu răbdare, viziune și atenție la detalii.


Tratament ortodontic
cu aparat dentar transparent
Dr. Liana Andruseac
Medic Specialist Ortodonție și Ortopedie Dento-Fcaială
Completează formularul și unul dintre asistenții noștri te va contacta pentru a programa vizita la clinică sau o consultație online.