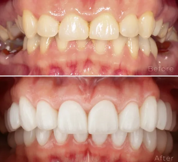
Un caz care, la prima vedere, părea simplu, dar care a necesitat o abordare complexă pentru a reda echilibrul funcțional și estetic al zâmbetului.
Pentru reabilitarea zonelor laterale au fost inserate două implanturi Neodent by Straumann – Titan Aqua, cu suprafață hidrofila, concepute pentru o integrare predictibilă și stabilă. Restaurarea a fost completată prin coroane ceramice pe implant, pe suport de zirconiu, iar pentru zona frontală am ales fațete dentare Emax Ivoclar, care au permis obținerea unei estetici naturale și armonioase.


Rezultatul final este mai mult decât un zâmbet frumos. Este și restabilirea funcției masticatorii și a echilibrului ocluzal, elemente esențiale pentru sănătate și confort pe termen lung.


Extracție dentară rest radicular
Implanturi dentare NEODENT by Straumann
Titan - Aqua (suprafață hidrofilă)
Coroane dentare ceramice, procedeu CAD-CAM frezare computerizată pe suport de Zirconiu
ASPEN DIGITAL SMILE
Fațete dentare EMAX IVOCLAR
ASPEN DIGITAL SMILE
Dr. Cătălin Mărtișcă
Medic Specialist - Chirurgie Dento-Alveolară
Completează formularul și unul dintre asistenții noștri te va contacta pentru a programa vizita la clinică sau o consultație online.