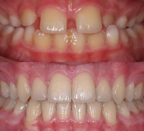
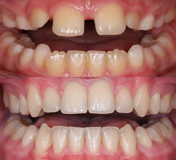
Intervenția ortodontică precoce este esențială pentru ghidarea optimă a dezvoltării maxilare, crearea spațiului necesar erupției dinților permanenți și prevenirea complicațiilor viitoare. Printr-o planificare riguroasă și abordare integrată, tratamentul asigură nu doar alinierea dentară, ci și echilibrul funcțional și armonia facială.


Planul de tratament a fost construit în jurul nevoilor reale ale pacientului, cu obiective funcționale și estetice precise. Sub coordonarea Dr. Liana Andruseac, medic specialist Ortodonție și Ortopedie Dento-Facială, am integrat analiza digitală completă și abordarea interdisciplinară pentru a armoniza trăsăturile faciale, a optimiza ocluzia și a asigura stabilitatea pe termen lung.


Dintr-un caz complex, a prins viață un zâmbet firesc și luminos, un început al încrederii care va crește odată cu pacientul și îl va însoți în fiecare etapă a adolescenței. Fiecare pas al tratamentului, de la planificarea atentă până la monitorizarea creșterii și alinierea dentară, a contribuit la acest rezultat armonios și plin de bucurie.


Tratament ortodontic
cu aparat dentar fix
Dr. Liana Andruseac
Medic Specialist - Ortodonție și Ortopedie Dento Facială
Completează formularul și unul dintre asistenții noștri te va contacta pentru a programa vizita la clinică sau o consultație online.