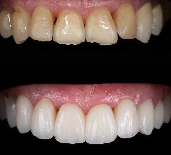
Pacientul nostru s-a prezentat la clinică din dorința de a-și recupera funcționalitatea completă a dinților. Cu edentații ale molarilor pe maxilarul superior, masticația a devenit deficitară iar mușcătura începea să își piardă stabilitatea.


Digitalizarea modului de lucru ne permite să oferim pacientului o experiență personalizată și 100% sigură.
Analiza digitală a ocluziei dinamice 4D cu ajutorul tehnologiei ModJaw și previzualizarea zâmbetului final, i-au oferit pacientului șansa de a-și proba noul zâmbet, încurajându-l astfel să urmeze planul de tratament cu mult mai multă încredere.


Transformarea pacientului nostru ne amintește că zâmbetul are puterea de a schimba vieți. Cu o nouă atitudine, cu mult mai multă încredere în sine și fără grija problemelor dentare, domnul Bogdan P. emană bucurie la fiecare pas.


Analiza digitală a ocluziei dinamice
ModJaw 4D
Previzualizarea digitală a zâmbetului final
SmileCloud
Tratament endodontic
Implant dentar Straumann
Roxolid SLActive
Lifting de sinus deschis
Adiție Bio-Oss
Membrană Bio-Gide
Amprentă digitală scanner
Trios 3Shape
Fatete PREMIUM EMAX
ASPEN Digital Smile Design
Coroane PREMIUM Zirconiu
ASPEN Digital Smile Design
Dr. Adelin Radu
Medic Specialist - Protetică Dentară
Dr. Vasile Brănici
Medic Specialist Chirurgie Dento-Alveolară
Dr. Diana Beleni
Medic Specialist - Parodontologie
Completează formularul și unul dintre asistenții noștri te va contacta pentru a programa vizita la clinică sau o consultație online.