În reabilitările orale complexe, atunci când pacientul ajunge cu funcționalitate sever compromisă și cu riscul real de a pierde întreaga dantură, soluțiile premium nu țin de confort, ci de predictibilitate și succes clinic.


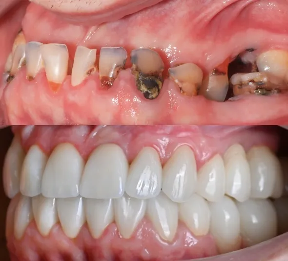
O transformare remarcabilă coordonată de Dr. Ionela Dumitru: un parcurs de 3 ani care a integrat expertiza unei echipe multidisciplinare - endodonție, , implantologie, ortodonție și chirurgie. Punctul de plecare a fost unul provocator - o dantură compromisă și o ocluzie inversă severă care afectau echilibrul facial. Prin implantologie ghidată și o abordare multidisciplinară, am reușit să redăm funcționalitatea și estetica unui zâmbet armonios.


Arhitectura noului zâmbet a pornit de la o bază solidă: reconstrucția suportului osos și integrarea a 10 implanturi Straumann BLX pentru o regenerare accelerată. Precizia execuției a fost ghidată digital prin Digital Smile Design și MODJAW 4D, tehnologii ce au asigurat o ocluzie perfect echilibrată. Rezultatul final, materializat prin protetică din Zirconiu premium CAD-CAM, reflectă simbioza ideală între estetica naturală și durabilitatea funcțională.


Implanturi dentare
Straumann BLX SLActive® / Roxolid®
Coroane PREMIUM ZIRCONIU
ASPEN DIGITAL SMILE
Reconstrucție osoasă
Bio-Oss / Bio-GIDE;
Tratamente endontice
sub microscop ZEISS
Analiză digitală a ocluziei dinamice
MODJAW 4D
Chirurgie ortognată de repoziționare osoasă
Dr. Ionela Dumitru
Medic coordonator, Specialist Protetică Dentară/Atestat Implantologie
Dr. Alice Gavrilescu
Medic Specialsit Chirurgie Dento- Alveolară
Dr. Anamaria Ghiurcă
Medic Specialist Parodontologie
Dr. Bahare Azar
Medic Specialist Endodonție
Dr. Ion Nicolescu
Medic Specialist Chirurgie Ortognată
TH.Pavel Ciulin
MDT – Expert Designer ASPEN
Completează formularul și unul dintre asistenții noștri te va contacta pentru a programa vizita la clinică sau o consultație online.