Reabilitarea cazurilor complexe la DENT ESTET se bazează pe o planificare riguroasă, unde fiecare etapă este integrată într-un flux digital precis pentru a asigura stabilitate și funcționalitate.
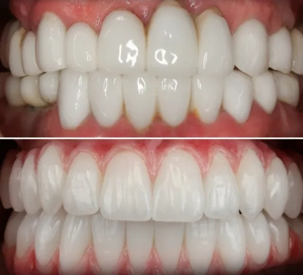
Cazul doamnei Delia a reprezentat o provocare biologică, marcată de efectele bolii parodontale avansate. Obiectivul clinic a fost reconstrucția totală a zâmbetului prin conceptul All-on-4, o soluție fixă capabilă să redea capacitatea de masticație și echilibrul fizionomiei în timp record.
Planificarea a început cu analiza mușcăturii dinamice prin tehnologie de ultimă generație, asigurând un echilibru perfect al arcadelor încă din faza de planificare. Protocolul a integrat sisteme de implanturi de înaltă performanță, recunoscute pentru capacitatea de integrare rapidă în structura osoasă. Această abordare a permis aplicarea unei lucrări provizorii fixe în primele 24 de ore, oferind pacientei confort imediat.
Finalizarea cazului, realizată după 4 luni, a constat într-o lucrare pe infrastructură din titan și coroane din zirconiu premium, proiectate digital pentru o adaptare perfectă. Rezultatul este un design de zâmbet definit prin durabilitate, precizie și o estetică naturală, adaptată fizionomiei pacientei.
Fiecare detaliu a avut un scop precis: restabilirea calității vieții printr-un protocol standardizat de înaltă performanță.


Ședință completă de profilaxie
EXCLUSIVE EMS Airflow ® Prophylaxis Master
Aanaliza digitală a ocluziei dinamice 4D
ModJaw
Implanturi dentare
Straumann Pro Arch ROXOLID/SLActiv
Lucrare protetică finală
All-on-4
Completează formularul și unul dintre asistenții noștri te va contacta pentru a programa vizita la clinică sau o consultație online.