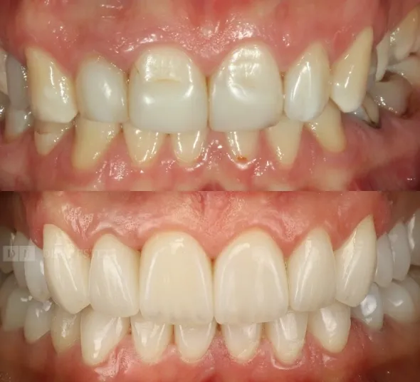
Cazul Dianei a impus o abordare complexă pentru corectarea formei dinților și eliminarea aspectului inestetic cauzat de vechile plombe de compozit colorate. Obiectivul principal a fost restabilirea armoniei dento-faciale printr-un protocol de lucru minim invaziv, susținut de tehnologie digitală de înaltă rezoluție. Succesul clinic a fost asigurat de o pregătire riguroasă a substratului dentar prin retratamente endodontice sub microscop și consolidarea structurii acestora cu pivoți din fibră de sticlă. Etapa de reconturare a liniei gingivale a permis obținerea unei simetrii perfecte, esențială pentru aspectul final al zâmbetului. Estetica superioară a fost garantată prin integrarea fațetelor EMAX Ivoclar și a coroanelor ceramice pe suport de Zirconiu, realizate prin tehnologie CAD-CAM. Rezultatul este un zâmbet sănătos și natural, caracterizat prin vitalitate, funcționalitate și o longevitate sporită.


Dr. Octavian Sântu
Medic Specialist Parodontologie
Dr. Erika Vasilescu
Medic Specialist Endodonție
Fațete dentare
EMAX Ivoclar
Coroane dentare ceramice
procedeu CAD-CAM, frezare computerizată pe suport ZIRCONIU
Tratament endodontic
Microscop LEICA
Ședință completă de profilaxie
BRIGHT&WHITE
Gingivectomie și gingivoplastie
Reconstrucție bonturi
cu pivoți din fibră de sticlă
Completează formularul și unul dintre asistenții noștri te va contacta pentru a programa vizita la clinică sau o consultație online.