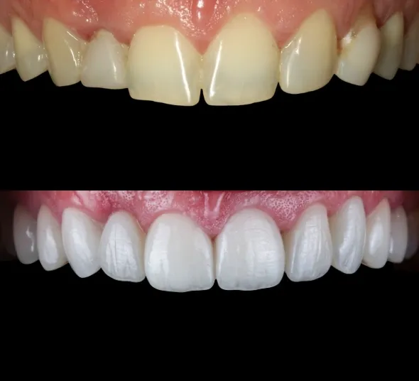
Transformarea pacientei noastre a început cu o provocare atipică: prezența dinților de lapte la vârsta adultă, o situație care bloca atât estetica, cât și funcționalitatea corectă. Soluția a fost o reconstrucție totală, eliminând elementele care nu mai puteau fi salvate și securizând dinții naturali prin tratamente de canal la microscop. Pentru a acoperi lipsurile, am folosit implanturi cu încărcare imediată Neodent, ceea ce a permis trecerea la o dantură funcțională într-un timp record. Am folosit Smile Cloud pentru a previzualiza noul zâmbet și, cel mai important, tehnologia MODJAW pentru a înregistra cum se mișcă arcadele în 4D. Această analiză ne permite să vedem exact cum interacționează dinții în timp ce pacientul vorbește sau mănâncă. Rezultatul nu este doar un design frumos, ci unul calibrat să nu pună presiune pe mușcătură sau pe implanturi.


Pentru rezultatul final au fost integrate coroanele pe implant și fațetele EMAX, corectând astfel definitiv culoarea și poziția fiecărui dinte. Nu a fost doar o schimbare vizuală, ci o reabilitare tehnică completă, unde tehnologia digitală a eliminat aproximarea, oferind un zâmbet stabil, funcțional și perfect armonizat cu fizionomia.


Implanturi dentare
Neodent
Fațete dentare
EMAX
Tratament endodontic
Microscop
Previzualizarea zâmbetului final
Smile Cloud
Analiză digitală a ocluziei dinamice 4D
ModJaw
Tratament ghidat al plăcii bacteriere
EXCLUSIVE Airflow
Coroane dentare ceramice
procedeu CAD-CAM, frezare computerizată pe suport ZIRCONIU
Tratament de albire dentară profesională
BEYOND
Dr. Cătălin Mărtișcă
Medic Specialist Chirurgie Dento-Alveolară
Dr. Adelina Budiș
Medic Coordonator, Specialist - Protetică Dentară
Dr. Roxana Chiric
Medic Specialist Endodonție
Completează formularul și unul dintre asistenții noștri te va contacta pentru a programa vizita la clinică sau o consultație online.