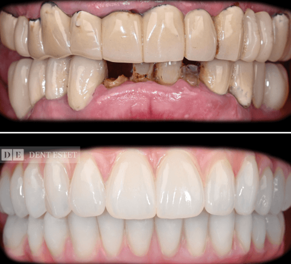
Un zâmbet este mai mult decât o expresie, este esența personalității noastre. Pacienta noastră și-a dorit un zâmbet natural, care să-i reflecte căldura și atitudinea discretă.
Pentru a-i îndeplini dorința, echipa coordonată de Dr. Alice Gavrilescu, Medic specialist Chirurgie Dento-Alveolară, expert Estetică dentară, a realizat o reconstrucție profundă: funcție – estetică – armonie facială, cu ajutorul sistemului de implanturi dentare STRAUMANN® PRO ARCH.


Planul personalizat de tratament a inclus o reabilitare orală complexă cu sistemul inovator de implanturi dentare Straumann PRO ARCH, ce presupune inserarea a câte 4 implanturi ROXOLID/SLActiv pe fiecare arcadă.
De asemenea, a fost fixată o lucrare protetică definitivă, cu infrastructură din Titan și coroane din zirconiu, pentru ca pacienta noastră să se bucure din nou de un zâmbet stabil și frumos, să-și recapete funcționalitatea și să aibă încrederea de a zâmbi și de a trăi liber, fără compromisuri.


Reabilitare orală complexă
cu sistemul STRAUMANN® PRO ARCH
Lucrare protetică finală
de tip All-on-4
Dr. Alice Gavrilescu
Medic specialist Chirurgie Dento-alveolară
Completează formularul și unul dintre asistenții noștri te va contacta pentru a programa vizita la clinică sau o consultație online.