Pacienta Dorina N. ne este alături din anul 2019. Deși nu locuiește în România, ne-a vizitat de fiecare dată cu drag, așa cum am primit-o și noi la rândul nostru.
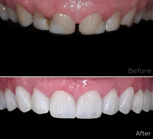
Recent, pacienta ne-a împărtășit dorința sa de a-și transforma zâmbetul. Dr. Ionela Dumitru a acceptat provocarea și, astfel, am pornit împreună în călătoria către un nou zâmbet.
Digitalizarea modului de lucru ne permite să oferim pacienților o experiență autentică și complet sigură. Previzualizarea zâmbetului final cu ajutorul Digital Smile Design i-a oferit doamnei Dorina posibilitatea de a testa noul zâmbet înainte de începerea tratamentului, încurajând-o să urmeze planul cu încredere.


Tratamentul a inclus inserarea implanturilor dentare în spațiile edentate, urmată de aplicarea coroanelor Premium Aspen, realizate în laboratorul propriu DENT ESTET.
Transformarea doamnei Dorina N. ne amintește că zâmbetul are puterea de a schimba vieți. Cu o nouă atitudine, plină de încredere și fără grija problemelor dentare, pacienta noastră emană bucurie la fiecare pas.


Amprentă digitală scanner
Trios 3Shape
Analiză digitală a ocluziei dinamice 4D
ModJaw Technology
Previzualizarea zâmbetului final
Digital Smile Design - DSD
Tratament endodontic
la microscop
Implant dentar Straumann
BLX SLActive
Coroane PREMIUM Zirconiu
ASPEN Digital Smile Design
Dr. Ionela Dumitru
Implantologie și Estetică Dentară
Th. Pavel Ciulin
MDT – CDT – Expert Designer ASPEN
Completează formularul și unul dintre asistenții noștri te va contacta pentru a programa vizita la clinică sau o consultație online.