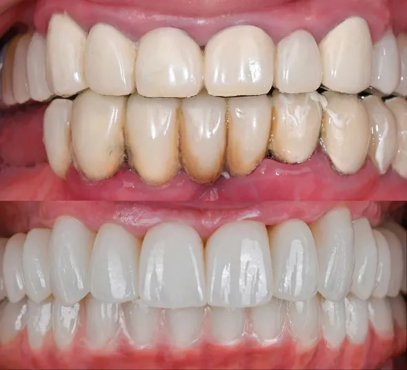
Zâmbetul spune o poveste despre fiecare dintre noi, iar doamna Doroteia își dorea să transmită cât mai multă emoție și să se bucure de confortul unui zâmbet complet și estetic.
În urma unei consultații detaliate, Dr. Ionela Dumitru a construit un plan bine definit care să-i readucă pacientei bucuria unui zâmbet fără griji.


Sub îndrumarea medicului său, pacienta a urmat etapele planului de tratament personalizat.
Pentru arcada inferioară, s-au realizat extracții dentare, tratamente de canal și îndepărtarea lucrărilor existente care provocau disconfort, urmate de inserarea implanturilor dentare Straumann BLX SLActive.


Pe arcada superioară a fost efectuată intervenția Straumann Pro Arch, care a presupus inserarea a șase implanturi dentare și aplicarea imediată a unei lucrări provizorii.


Planul de tratament a fost finalizat complet la 6 luni de la intervenția Pro Arch de pe arcada superioară. Acum, pacienta se bucură de o recuperare completă și un zâmbet frumos și sănătos. Iar noi, ne bucurăm de zâmbetul său.


Ablație lucrări protetice existente
Tratament endodontic sub control microscopic
ZEISS
Scanare intraorală
Planificare digitală ghid chirurgical
STRAUMANN PRO ARCH SLActive
Lucrare provizorie imediată pe 6 implanturi
Implant dentar Straumann BLX SLActive
6 implanturi individuale
Amprentă digitală scanner
Trios 3Shape
Lucrare protetică finală de tip All-on-4
ASPEN Digital Smile Design
Coroane PREMIUM din Zirconiu
ASPEN DIGITAL SMILE DESIGN
Dr. Ionela Dumitru
Medic Expert - Estetică dentară
Dr. Bahare Azar
Medic Specialist - Endodonție
Th. Pavel Ciulin
MDT – CDT – Expert Designer ASPEN
Completează formularul și unul dintre asistenții noștri te va contacta pentru a programa vizita la clinică sau o consultație online.