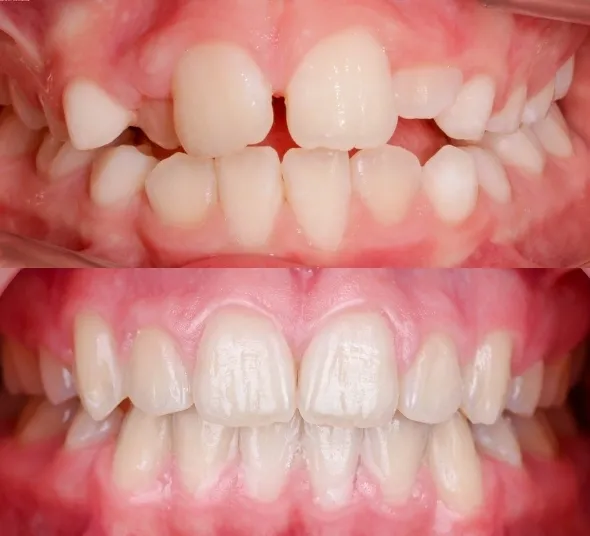
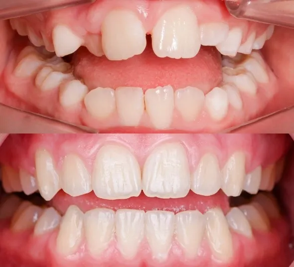
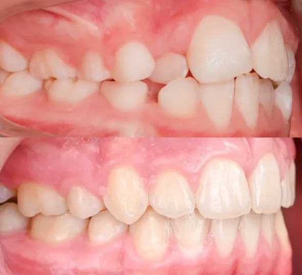
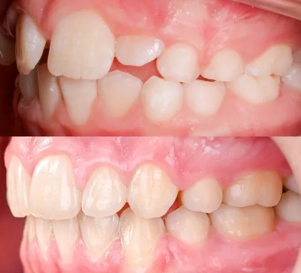
Expertiza Dr. Valeria Nechita stă la baza tratării cazurilor ortodontice complexe, unde diagnosticul corect și planificarea etapizată sunt esențiale pentru obținerea unor rezultate stabile și predictibile. Cazul lui Eduard reprezintă un exemplu de abordare ortodontică interdisciplinară, construită pe analiza detaliată a relațiilor scheletale, dentare și funcționale, cu obiective clare încă de la prima consultație.


Tratamentul a început în perioada de dentiție mixtă, moment-cheie pentru corectarea dezechilibrelor scheletale. Purtarea unui disjunctor maxilar timp de 10 luni a permis expansiunea transversală a maxilarului, corectarea discrepanței maxilo-mandibulare și crearea spațiului necesar pentru erupția și alinierea corectă a dinților permanenți.


Pentru un rezultat predictibil și de lungă durată, planul ortodontic a inclus extracția a patru premolari, integrată într-un protocol terapeutic complet, menit să asigure armonia dento-facială și stabilitatea ocluzală. Tratamentul a continuat cu brackeți autoligaturanți metalici, care au permis un control biomecanic eficient al mișcărilor dentare, reducând frecarea și optimizând timpul de tratament. Finalizarea a urmărit obținerea unei ocluziei funcționale echilibrate, cu aliniere corectă, estetică facială îmbunătățită și un zâmbet sănătos, stabil în timp.


Tratament ortodontic
Aparat dentar fix autoligaturant
Dr. Valeria Ștefănescu
Medic Specialist - Ortodonție și Ortopedie Dento Facială
Completează formularul și unul dintre asistenții noștri te va contacta pentru a programa vizita la clinică sau o consultație online.