Pentru Gavriil Pinte, scena este locul unde emoțiile prind viață și unde poveștile se transformă în experiențe. În spatele aplauzelor și al spectacolelor memorabile, el a înțeles însă că adevărata încredere vine de la sine. Iar zâmbetul joacă un rol crucial.
Alături de Dr. Adelin Radu, pacientul nostru a pornit în călătoria de a-și redescoperi zâmbetul, prin care să transmită aceeași lumină în jur pe care o regăsește în artă.


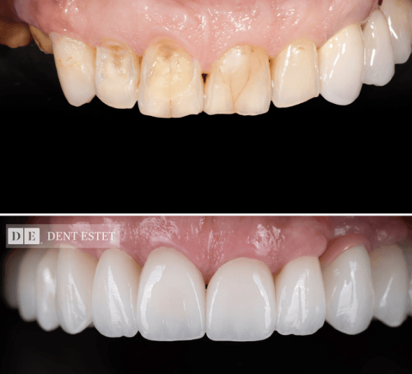
Procesul a început cu documentarea imagistică, radiologică și analiza digitală a ocluziei dinamice prin tehnologia Modjaw 4D. Planul de tratament a fost personalizat prin Digital Smile Design, utilizat pentru a vizualiza și a proba zâmbetul final înainte de începerea intervențiilor.
A urmat etapa chirurgicală, ce a inclus extracții dentare și tratamente endodontice realizate sub microscop, pentru a asigura o bază sănătoasă și stabilă. Reconstrucțiile au fost realizate cu ajutorul implanturilor Straumann BLX, pentru stabilitate imediată și rezultate predictibile Intervențiile au fost completate de proceduri de adiție osoasă menite să refacă volumul necesar integrării implanturilor.


Etapa finală a fost cea protetică, în care estetica și funcționalitatea au fost restabilite prin aplicarea de coroane ceramice CAD_CAM frezate computerizat și fațete Emax Ivoclar, pentru un zâmbet natural, armonios și plin de expresivitate.
Astăzi, zâmbetul său este nu doar o expresie a sănătății și încrederii, ci și o continuare firească a emoției pe care o dăruiește publicului prin teatru și film, cât și celor dragi.


Analiză digitală a ocluziei dinamice
ModJaw 4D
Digital Smile Design
Previzualizarea digitală a zâmbetului final
Tratamente endodontice
Microscop
Extracții dentare
Implanturi dentare
STRAUMANN®BLX SLActive
Coroane dentare ceramice
Procedeu CAD-CAM, frezare computerizată
Fațete dentare
EMAX Ivoclar
Dr. Adelin Radu
Medic Specialist - Protetică Dentară
Dr. Vasile Brănici
Medic Specialist - Chirurgie Dento-Alveolară și Endodonție
Th. Pavel Ciulin
MDT – CDT – Expert Designer ASPEN
Completează formularul și unul dintre asistenții noștri te va contacta pentru a programa vizita la clinică sau o consultație online.