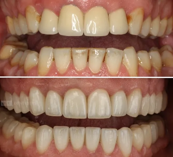
La 47 de ani, Gheorghe P. a ales să zâmbească din nou cu încredere. La DENT ESTET Sibiu, am abordat cazul său ca pe un proiect de arhitectură facială, unde funcționalitatea și estetica se susțin reciproc. Totul a început cu analiza digitală a ocluziei dinamice 4D, o tehnologie care ne-a permis să vizualizăm dinamica zâmbetului înainte de a face orice modificare, asigurându-ne că noul design este în perfect echilibru cu trăsăturile sale. Reconstrucția propriu-zisă a vizat durabilitatea: am înlocuit lucrările vechi și am salvat fiecare dinte natural prin retratamente endodontice cu ajutorul microscopul Leica. Pentru zonele edentate, am mizat pe stabilitatea implanturilor premium, peste care am aplicat coroane din zirconiu frezate computerizat prin tehnologia CAD-CAM. Nota de rafinament a fost oferită de fațetele EMAX, care au armonizat întregul zâmbet, oferindu-i domnului Gheorghe nu doar o dantură impecabilă, ci confortul de a zâmbi din nou cu toată forța.


Analiza digitală a ocluziei 4D
ModJaw
Ședință completă de profilaxie
Exclusive EMS Airflow
Ablație lucrare existentă
Retratament endodontic
Microscop Leica
Extracție molar de minte
Implanturi dentare
Neodent by Straumann
Coaroane ceramice
Procedeu CAD-CAM, pe suport ZIRCONIU
Fațete dentare
EMAX Ivoclar
Completează formularul și unul dintre asistenții noștri te va contacta pentru a programa vizita la clinică sau o consultație online.