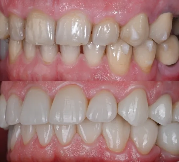
Pacientul nostru a pornit la drum cu dorința unui zâmbet complet, sănătos și natural – iar pentru ca această transformare să fie posibilă, mai multe specialități au lucrat împreună, într-un plan de tratament complex și atent coordonat.
Sub îndrumarea Dr. Delia Ciocan, medic specialist ortodonție și ortopedie dento-facială, poziția dinților a fost corectată cu ajutorul alignerelor Invisalign, obținându-se echilibrul necesar pentru următoarele etape.
Sănătatea gingivală a fost restabilită prin tratamente parodontale asistate laser WaterLase, realizate de Dr. Anamaria Ghiurcă, pentru o bază stabilă și curată.


Reconstrucția dentară a fost apoi realizată de Dr. Alice Gavrilescu, medic coordonator al cazului și specialist chirurgie dento-alveolară, prin implanturi dentare Nobel Biocare și lucrări protetice personalizate – fațete și coroane premium realizate în laboratorul Aspen Digital Smile Design de către Th. Pavel Ciulin, coordontator al echipei de tehnicieni dentari ASPEN.


Rezultatul final nu înseamnă doar un zâmbet perfect aliniat și luminos, ci și redobândirea încrederii – dovada că, atunci când estetica, funcționalitatea și expertiza se întâlnesc, zâmbetul devine autentic și plin de viață.


Amprentă digitală scanner
Trios 3Shape
Previzualizarea zâmbetului final
Digital Smile Design - DSD
Parodontometrie asistată digital - măsurarea pungilor parodontale
Florida Probe
Chiuretaj subgingival asistat laser
WaterLase
Simulare digitală plan de tratament ortodontic
Invisalign
Tratament ortodontic cu alignere
Invisalign LITE (FULL)
Analiză digitală a ocluziei dinamice 4D
ModJaw Technology
Implant dentar
Nobel Biocare
Fațete PREMIUM EMAX
ASPEN Digital Smile Design
Coroane PREMIUM Zirconiu
ASPEN Digital Smile Design
Dr. Alice Gavrilescu
Medic Specialist - Chirurgie Dento-Alveolară
Dr. Anamaria Giurcă
Medic Specialist - Parodontologie
Dr. Delia Ciocan
Medic Specialist - Ortodonție și Ortopedie Dento-Facială
Th. Pavel Ciulin
MDT – CDT – Expert Designer ASPEN
Completează formularul și unul dintre asistenții noștri te va contacta pentru a programa vizita la clinică sau o consultație online.