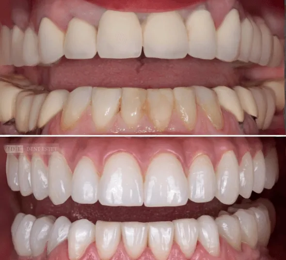
Unele zâmbete sunt emblematice - și merită să rămână așa. Doamna Teofilia Karayel este definiția unui caz complex în stomatologie, rezolvat cu succes de echipa medicală DENT ESTET.
Deși locuiește de mult timp în Turcia, Teofilia Karayel este pacienta noastră fidelă de peste 17 ani. Această loialitate ne onorează și este dovada încrederii depline pe care doamna Karayel o are în viziunea și expertiza echipei noastre medicale.
Într-un parteneriat emblematic pentru DENT ESTET, Prof. dr. Paulo Malo - creatorul sistemului de implanturi dentare All-on-4® by Nobel Biocare și Dr. Alexandru Georgescu - Director Medical DENT ESTET au creat un plan de tratament personalizat, axat pe menținerea identității și a armoniei zâmbetului pacientei noastre.
Promisiunea noastră a fost o soluție durabilă și perfect adaptată, menită să-i păstreze pacientei noastre naturalețea zâmbetului său unic.


Unele zâmbete sunt emblematice - și merită să rămână așa. Doamna Teofilia Karayel este definiția unui caz complex în stomatologie, rezolvat cu succes de echipa medicală DENT ESTET.
Deși locuiește de mult timp în Turcia, Teofilia Karayel este pacienta noastră fidelă de peste 17 ani. Această loialitate ne onorează și este dovada încrederii depline pe care doamna Karayel o are în viziunea și expertiza echipei noastre medicale.
Într-un parteneriat emblematic pentru DENT ESTET, Prof. dr. Paulo Malo - creatorul sistemului de implanturi dentare All-on-4® by Nobel Biocare și Dr. Alexandru Georgescu - Director Medical DENT ESTET au creat un plan de tratament personalizat, axat pe menținerea identității și a armoniei zâmbetului pacientei noastre.
Promisiunea noastră a fost o soluție durabilă și perfect adaptată, menită să-i păstreze pacientei noastre naturalețea zâmbetului său unic.


Rezultatul a fost peste așteptările pacientei: un zâmbet mai strălucitor, mai plin de viață, autentic.
Mai mult decât o misiune, este o promisiune pe care o onorăm prin fiecare caz. Noul zâmbet al Teofiliei a devenit un simbol al expresivității și vitalității pacientei noastre. Am reușit să construim un zâmbet care continuă să spună povestea ei, la fel de dinamică și de unică.


„Au trecut deja 5 ani de la această intervenție. Cinci ani în care am învățat să zâmbesc cu toată inima, fără rețineri, cu bucurie sinceră. Cazul meu a fost complex, pentru că, de-a lungul timpului, am suferit mult din cauza bolii parodontale. Prof. Dr. Paulo Malo, Dr. Alexandru Georgescu și dr. Andreea Rădeanu sunt medici extraordinari și le sunt recunoscătoare pentru ce au făcut pentru mine. Atunci când te simți bine cu tine, zâmbetul vine firesc, natural. Și nu vorbim doar de o schimbare la exterior, ci de un echilibru pe care mi l-am regăsit și pe care îl trăiesc și simt în fiecare zi.” - Teofilia Karayel

Tratament cu sistemul All-on-4®
4 implanturi dentare Nobel Biocare™
Lucrare protetică fixă
de tip All-on-4
Tratamente endontice sub microscop
Reconstrucții osoase
prin tehnica "bone ridge spliting"
Implanturi dentare
Fațete și coroane dentare
ASPEN DIGITAL SMILE
Dr. Alexandru Georgescu
Medic implantolog
Prof. Dr. Paulo Malo
colaborator DENT ESTET
Dr. Andreea Rădeanu
Medic Estetică Dentară
Th. Pavel Ciulin
Coordonator al echipei ASPEN
Completează formularul și unul dintre asistenții noștri te va contacta pentru a programa vizita la clinică sau o consultație online.