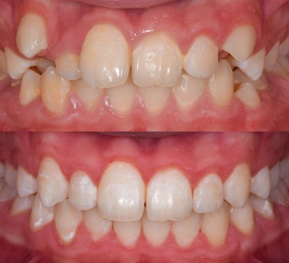
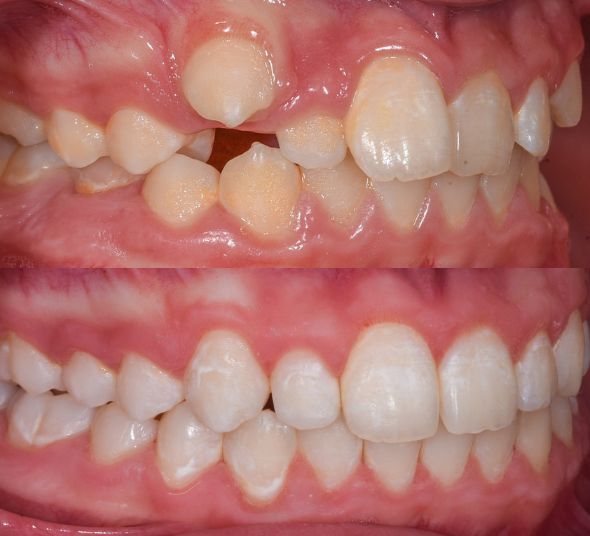
Tratamentul a fost personalizat, ținând cont de vârstă, de particularitățile structurii osoase și de ritmul natural de creștere. Pentru o perioadă de doi ani, Ioana a purtat bracketi metalici, urmând un plan etapizat, conceput pentru a restabili proporțiile corecte între dinți și maxilare. Prin ajustări constante, am urmărit nu doar îndreptarea dinților, ci și armonizarea mușcăturii și echilibrarea feței — elemente care, împreună, definesc un zâmbet natural și sănătos.


Un control ortodontic efectuat la momentul potrivit poate schimba traiectoria dezvoltării dento-faciale. Prin corecție timpurie, specialiștii pot ghida poziția dinților și a maxilarelor, prevenind complicații ce ar necesita tratamente mai complexe la maturitate. Cazul Ioanei ne amintește că un zâmbet sănătos se construiește în timp, prin colaborare între medic, copil și familie, dar mai ales prin informare și acțiune la momentul potrivit. Un zâmbet sănătos se construiește prin știință, consecvență și o abordare integrată – valori care definesc ortodonția modernă și filosofia DENT ESTET 4 Kids.


Tratament ortodontic
cu aparat dentar fix
Dr. Ștefan Ciobanu
Medic Specialist - Ortodonție și Ortopedie Dento Facială
Completează formularul și unul dintre asistenții noștri te va contacta pentru a programa vizita la clinică sau o consultație online.