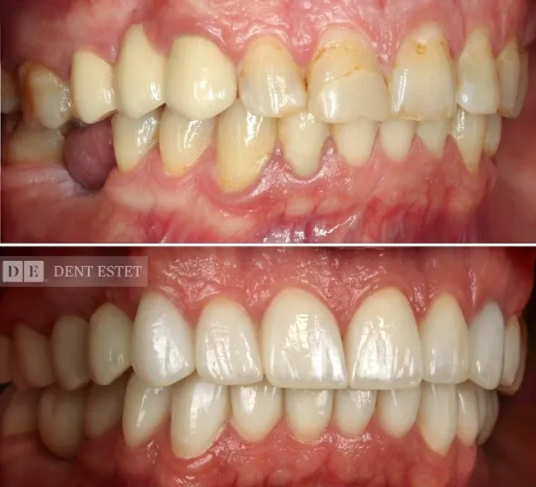
Reabilitarea orală a domnului Lucian a vizat reconstrucția integrității arcadelor prin tehnologii digitale de înaltă rezoluție. Arhitectura noului zâmbet a fost coordonată interdisciplinar de către Dr. Cătălin Mărtișcă și Dr. Erika Vasilescu, urmărind un echilibru riguros între biomecanică și estetica dentară. Precizia execuției a fost garantată de analiza ocluziei prin tehnologia MODJAW 4D, a permis stabilirea parametrilor dinamici ai maxilarului. Această etapă de diagnostic digital a facilitat planificarea unor restaurări care respectă funcționalitatea naturală a sistemului masticator. Protocolul clinic a integrat tratamente endodontice sub microscop LEICA și inserarea a 5 implanturi Straumann BLX-SLActive pentru stabilitate osoasă maximă. Etapa finală a constat în aplicarea fațetelor EMAX Ivoclar și a coroanelor pe suport de Zirconiu, realizate prin frezare computerizată CAD-CAM pentru o adaptare marginală impecabilă.


Ședință completă de profilaxie
BRIGHT & WHITE
Extracție molar de minte
Tratamente endodontice
cu microscop LEICA
Implanturi dentare
STRAUMANN BLX-SLActive
Fațete dentare
EMAX Ivoclar
Coroane ceramice
procedeu CAD-CAM frezare computerizată pe suport ZIRCONIU
Analiza digitală a ocluziei dinamice
ModJaw 4D
Dr. Erika Vasilescu
Medic Specialist Endodonție
Dr. Cătălin Mărtișcă
Medic Specialist Chirurgie Dento-Alveolară
Completează formularul și unul dintre asistenții noștri te va contacta pentru a programa vizita la clinică sau o consultație online.