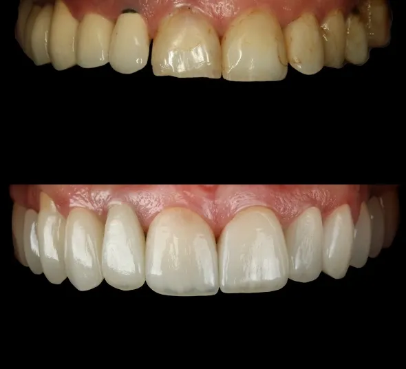
Transformarea zâmbetului doamnei Maria R. a fost construită pe un protocol tehnologic riguros, unde fiecare etapă a fost monitorizată pentru a asigura longevitatea rezultatului. Procesul a început cu tratamente endodontice efectuate sub microscopul Leica, o tehnologie care oferă vizibilitate și precizie maximă. Piesa centrală a planificării a fost sistemul MODJAW 4D, care a scanat dinamica reală a mișcărilor mandibulare. Această analiză digitală ne-a permis să configurăm un zâmbet care nu doar arată natural, ci este calibrat să funcționeze fără presiuni mecanice incorecte asupra noilor restaurări.


Etapa de finalizare a zâmbetului a presupus utilizarea tehnologiei CAD-CAM pentru realizarea coroanelor din zirconiu, un proces de frezare computerizată. Alegerea materialelor a fost strategică: zirconiul pentru rezistența structurală și fațetele EMAX Ivoclar pentru proprietățile lor estetice care imită fidel smalțul natural. Această combinație tehnologică asigură o estetică de înaltă fidelitate și o funcționalitate stabilă în timp. Rezultatul obținut la DENTESTET Sibiu reflectă echilibrul perfect între tehnologia avansată și viziunea clinică, oferind un zâmbet integrat nativ în fizionomia pacientei.


Analiza digitală a ocluziei dinamice
Modjaw 4D
Amprentă digitală cu scanner instraoral
Trios 3Shape
Ședință completă de profilaxie
EXCLUSIVE EMS Airflow
Extracție molar de minte
Tratament endodontic
Microscop LEICA
Coroană dentară ceramică
procedeu CAD-CAM, frezare computerizată pe suport ZIRCONIU
Fațete
EMAX
Dr. Ana Kertesz
Medic stomatolog - Estetică Dentară
Dr. Erika Vasilescu
Medic Stomatolog - Endodonție
Completează formularul și unul dintre asistenții noștri te va contacta pentru a programa vizita la clinică sau o consultație online.