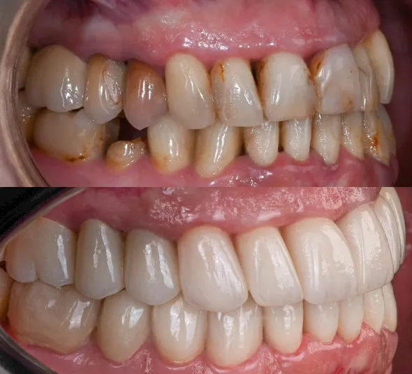
Un zâmbet bine construit spune o poveste despre echilibru; în proporții, funcție și estetică. Pentru domnul Marius, acest echilibru a prins contur treptat, printr-un proces complex, în care fiecare pas a avut un rol bine definit.
Alături de 𝐃𝐫. 𝐀𝐝𝐞𝐥𝐢𝐧 𝐑𝐚𝐝𝐮, medic specialist Protetică Dentară și coordonator al cazului, 𝐞𝐬𝐭𝐞𝐭𝐢𝐜𝐚 𝐬̦𝐢 𝐟𝐮𝐧𝐜𝐭̦𝐢𝐚 s-au susținut reciproc, cu focus constant pe stabilitate și durabilitate — o perspectivă care definește modul în care abordăm fiecare caz, ca pe un întreg, încă de la început.


Intervențiile de 𝐢𝐦𝐩𝐥𝐚𝐧𝐭𝐨𝐥𝐨𝐠𝐢𝐞, realizate de 𝐃𝐫. 𝐃𝐚𝐧 𝐒̦𝐭𝐞𝐟𝐚𝐧 𝐍𝐢𝐜𝐮𝐥𝐞𝐬𝐜𝐮, au fost integrate într-un context 𝐩𝐚𝐫𝐨𝐝𝐨𝐧𝐭𝐚𝐥 𝐬𝐭𝐚𝐛𝐢𝐥, tratat de 𝐃𝐫. 𝐃𝐢𝐚𝐧𝐚 𝐁𝐞𝐥𝐞𝐧𝐢, iar 𝐭𝐫𝐚𝐭𝐚𝐦𝐞𝐧𝐭𝐞𝐥𝐞 𝐞𝐧𝐝𝐨𝐝𝐨𝐧𝐭𝐢𝐜𝐞 (de canal), realizate de 𝐃𝐫. 𝐄𝐫𝐢𝐤𝐚 𝐕𝐚𝐬𝐢𝐥𝐞𝐬𝐜𝐮, au contribuit la construirea unei baze solide pentru etapa protetică.
În cele din urmă, echilibrul a devenit vizibil printr-un zâmbet care se așază firesc, fără efort, cu ajutorul coroanelor ceramice, proiectate digital și frezate computerizat CAD-CAM.


Chiuretaj subgingival
Laser WaterLase
Tratament endodontic
Microscop
Extracție chirurgicală
Anxioliză conștientă intravenoasă - asistată medic specialist A.T.I.
Implant dentar
Nobel Biocare
Adiție Bios-Oss
Membrana Bio-Gide
Gingivo-alveolo-plastie
Fațete dentare EMAX Ivoclar
ASPEN DIGITAL SMILE
Coroane ceramice, procedeu CAD-CAM frezare computerizată
Pe suport de Zirconiu
Dr. Adelin Radu
Medic Specialist - Protetică Dentară
Dr. Erika Vasilescu
Medic Specialist - Endodonție
Dr. Diana Beleni
Medic Specialist - Parodontologie
Dr. Dan Ștefan Niculescu
Chirurgie și Implantologie Dentară
Completează formularul și unul dintre asistenții noștri te va contacta pentru a programa vizita la clinică sau o consultație online.