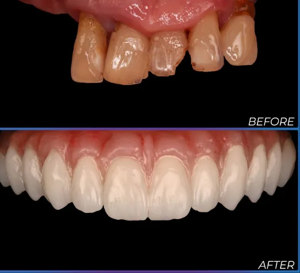
Doamna M.C. s-a prezentat la consultație cu o afecțiune parodontală severă, ireversibilă, care și-a pus amprenta asupra calității vieții sale atât pe plan personal, cât și în relațiile cu cei dragi.


Alături de dr. Andreea Rădeanu, medic specialist Protetică Dentară, pacienta și-a redobândit speranța unui zâmbet lipsit de griji.
Prin Sistemul de implanturi All-on-4® - soluția care face posibile transformările spectaculoase, doamna M.C. a părăsit cabinetul cu zâmbetul pe buze încă din ziua intervenției chirurgicale, în mai puțin de 24h!


Dr. Andreea Rădeanu
Medic Specialist Protetică Dentară și Coordonator al cazului
Completează formularul și unul dintre asistenții noștri te va contacta pentru a programa vizita la clinică sau o consultație online.