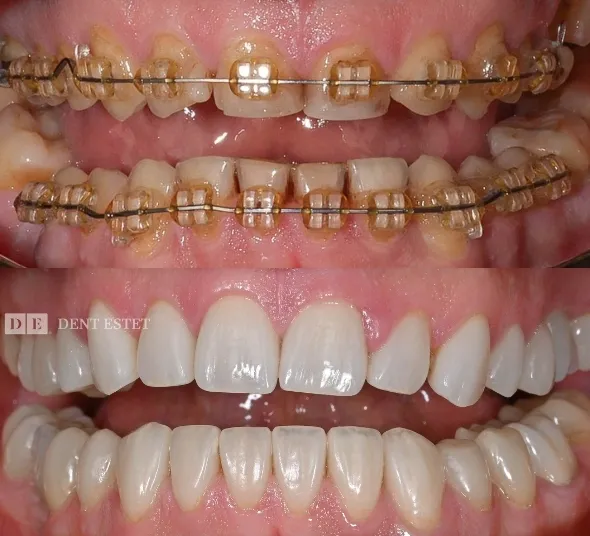
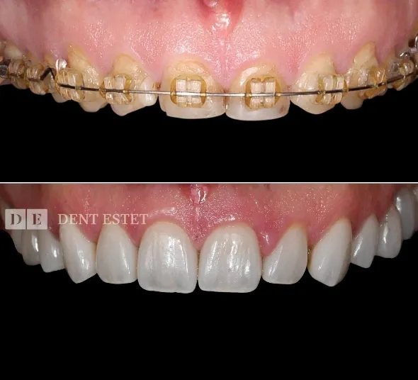
Corectarea unui parcurs ortodontic eșuat reprezintă una dintre cele mai mari provocări clinice, deoarece necesită nu doar o simplă remediere estetică, ci o reconstrucție totală a biomecanicii dentare. Pentru pacientul nostru, soluția a venit printr-o strategie multidisciplinară menită să rezolve instabilitatea ocluzală și să securizeze suportul osos.


Etapa chirurgicală a fost una de maximă precizie, implicând extracția strategică a molarilor de minte și o intervenție de sinus lift, proceduri esențiale pentru a crea contextul optim inserării implanturilor Nobel Biocare. Această fundație solidă a transformat un caz de eșec terapeutic într-un punct de plecare sigur pentru o reabilitare de lungă durată.


Ultima etapă a presupus aplicarea fațetelor premium Emax, proiectate prin sistemul Aspen Digital Smile pentru a se adapta trăsăturilor faciale ale pacientului. Această fază a transformat planificarea tehnică într-un rezultat vizual natural, unde forma și culoarea sunt susținute de noua structură funcțională. Am reușit astfel să înlocuim un parcurs inițial incert cu un succes terapeutic definitiv, oferind un zâmbet care funcționează corect și care se integrează nativ în fizionomia pacientului.


Ședință completă de profilaxie
EXCLUSIVE EMS Airflow
Adiție Bio-Oss
Implant dentar
Nobel Biocare
Extracție molar de minte
Lifting de sinus deschis
Membrană Bio-Gide
Aparat de contenție
Analiza digitală a ocluziei dinamice
ModJaw 4D
Gingivectomie
Laser Biolase
Tratament endodontic
Micrscop ZEISS
Coroane dentare ceramice
procedeu CAD-CAM, frezare computerizată pe suport ZIRCONIU
Amprentă digitală scanner
Trios 3Shape
Fațete dentare
PREMIUM EMAX
Dr. Ionela Dumitru
Medic coordonator, Specialist Protetică Dentară/Atestat Implantologie
Dr. Alice Gavrilescu
Medic Specialsit Chirurgie Dento- Alveolară
Alice Cornea
Tehnician dentar
Completează formularul și unul dintre asistenții noștri te va contacta pentru a programa vizita la clinică sau o consultație online.