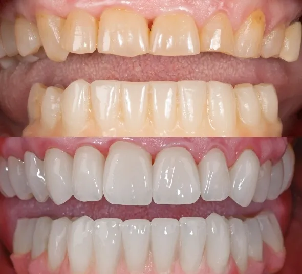
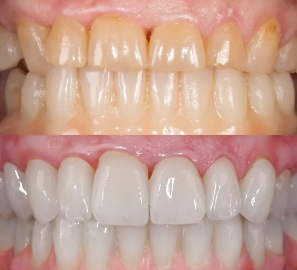
Pacienta Mioara A., 55 de ani, s-a prezentat cu edentație parțială, retracție gingivală și un dezechilibru ocluzal semnificativ. Aceste probleme sunt frecvent consecința parodontozei sau a cariilor netratate și pot genera un impact funcțional și estetic major: dificultăți în masticație, dureri la nivelul articulației temporo-mandibulare, modificări ale fizionomiei și, nu în ultimul rând, scăderea încrederii în sine.


În urma unei evaluări clinice și imagistice complete, echipa multidisciplinară formată din Dr. Vlad Gingulescu, medic coordonator protetician, și Dr. Vasile Brănici, medic specialist chirurgie dento-alveolară, a conceput un plan de tratament personalizat. Reabilitarea orală a inclus inserarea de implanturi dentare Nobel Biocare din titan biocompatibil, cu rol de înlocuire a rădăcinilor dentare și de stimulare a menținerii volumului osos, precum și restaurări protetice realizate din zirconiu – un material cu rezistență crescută, estetică superioară și integrare armonioasă în arhitectura facială.


Implanturi dentare
Nobel Biocare
Lucrare protetică finală de tip All-on-4
Infrastructură din TITAN, cu coroane din Zirconiu
Dr. Vlad Gingulescu
Medic coordonator protetician
Dr. Vasile Brănici
Medic Specialist - Chirurgie Dento-Alveolară
Completează formularul și unul dintre asistenții noștri te va contacta pentru a programa vizita la clinică sau o consultație online.