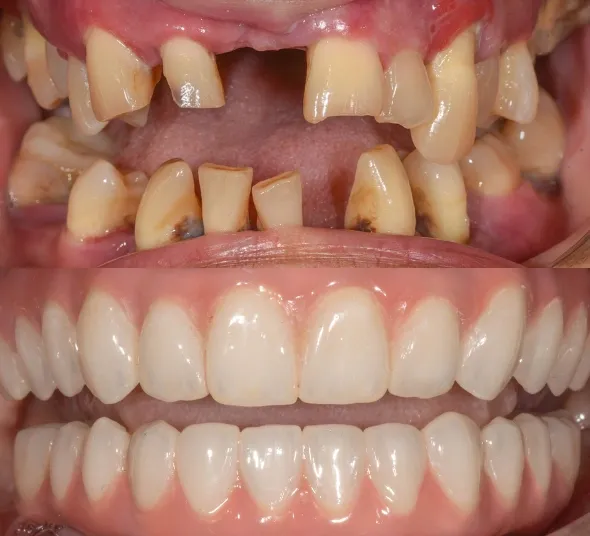
Pacienta noastră O. Ș. (47 ani) începe un nou capitol al vieții sale cu un zâmbet perfect. În spatele acestei transformări, se află efortul concertat al echipei noastre, sub îndrumarea și atenta observare a Prof. Dr. Paulo Maló, de a crea funcționalitatea și estetica dorite de doamna Ș.
Scanarea digitală 4D ModJaw a fost o etapă esențială în adaptarea mușcăturii până la cel mai mic detaliu, astfel încât pacienta noastră să se bucure de toate aspectele pe care le oferă un zâmbet nou.


𝐒𝐢𝐬𝐭𝐞𝐦𝐮𝐥 All-ON-4® — o reabilitare completă cu 4 implanturi Nobel Biocare® și lucrare provizorie fixă în 24h.
Pentru doamna O. Ș., această schimbare a însemnat mai mult decât refacerea danturii. A însemnat recâștigarea încrederii în sine, libertatea de a zâmbi fără rețineri și confort în fiecare zi. De la momentele petrecute alături de cei dragi, până la situațiile în care comunicarea clară contează cu adevărat, noul zâmbet îi oferă siguranța de a fi ea însăși, fără compromisuri.


Prof. Dr. Paulo Malo
Implantologie & Chirurgie Dentară
Completează formularul și unul dintre asistenții noștri te va contacta pentru a programa vizita la clinică sau o consultație online.