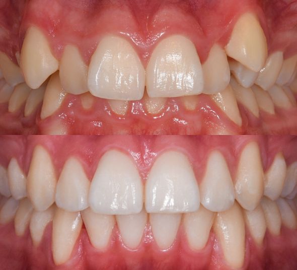
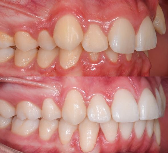
La DENT ESTET, privim fiecare zâmbet ca pe o amprentă personală. Patrick se confrunta cu o înghesuire dentară severă și o malocluzie, ceea ce îi afecta nu doar zâmbetul, ci și proporțiile faciale. Consultația ortodontică într-un moment-cheie al dezvoltării osoase s-a dovedit esențială pentru succesul tratamentului.


Soluția aleasă de echipa coordonată de Dr. Valeria Ștefănescu, medic specialist Ortodonție și Ortopedie Dento-Facială, a fost un aparat dentar fix cu bracketi autoligaturanți metalici, pentru a optimiza controlul forțelor aplicate asupra dinților și pentru a reduce uzura dentară în timpul masticației, oferind în același timp confort pacientului și o durată eficientă a terapiei.


Iar acum, cu un zâmbet perfect aliniat, Patrick nu doar că are mai multă încredere în sine, dar se bucură și de o sănătate orală optimă pe termen lung.


Tratament ortodontic
Aparat dentar fix autoligaturant
Dr. Valeria Ștefănescu
Medic Specialist - Ortodonție și Ortopedie Dento Facială
Completează formularul și unul dintre asistenții noștri te va contacta pentru a programa vizita la clinică sau o consultație online.