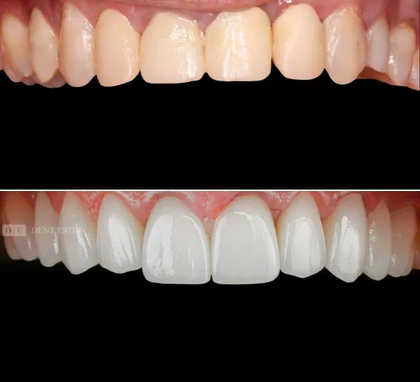
Reabilitarea orală a pacientului nostru a presupus o intervenție multidisciplinară de lungă durată, axată pe rezolvarea deficiențelor estetice și a patologiilor parodontale cauzate de lucrări protetice neadaptate. Obiectivul clinic a vizat restabilirea sănătății țesuturilor moi și reconstrucția dentară prin soluții protetice de înaltă precizie.
Planul de tratament a debutat cu scanarea cavității bucale și gestionarea inflamației gingivale, urmată de o etapă de remodelare a conturului gingival pentru a asigura o simetrie optimă a arcadelor. Funcționalitatea a fost corectată prin management ortodontic la nivelul arcadei inferioare și tratamente endodontice de specialitate, stabilizarea structurilor fiind realizată prin reconstrucții cu pivoți din fibră de sticlă.
Finalizarea estetică a fost executată prin tehnologie digitală CAD-CAM, utilizând un mix de materiale biocompatibile: fațete Emax Ivoclar și coroane ceramice pe suport de Zirconiu. Această abordare a permis obținerea unei adaptări marginale perfecte și a unei translucențe naturale, oferind un rezultat stabil, integrat biologic și funcțional.


Ședință de profilaxie
BRIGHT&WHITE
Albire dentară
Lampa Plasma ZOOM
Tratament ortdotontic pe o singură arcadă
cu aparat metalic
Ședință completă de profilaxie
EXCLUSIVE EMS Airflow
Tratament endodontic
cu microscop LEICA
Analiza digitală a ocluziei dinamice
ModlJow 4D
Scanare facială 3D
RAYFace
Amprentă digitală cu scanner intraoral
Trios 3Shape
Previzualizarea digitală a zâmbetului final
SmileCloud
Fațete dentare
Emax Ivoclar
Coroane ceramice
procedeu CAD-CAM frezare computerizată pe suport ZIRCONIU
Dr. Adelin Radu
Medic Specialist - Protetică Dentară
Dr. Cătălin Mărtișcă
Medic Specialist Chirurgie Dento-Alveolară
Dr. Erika Vasilescu
Medic Specialist Endodonție
Dr. Octavian Sântu
Medic Specialist Parodontologie
Completează formularul și unul dintre asistenții noștri te va contacta pentru a programa vizita la clinică sau o consultație online.