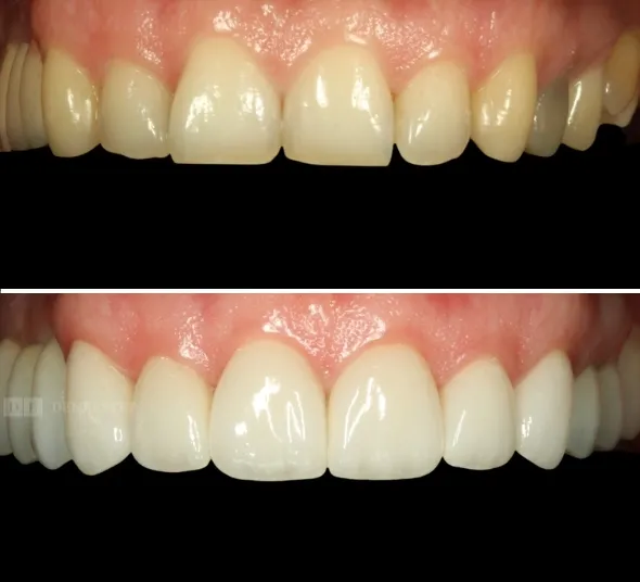
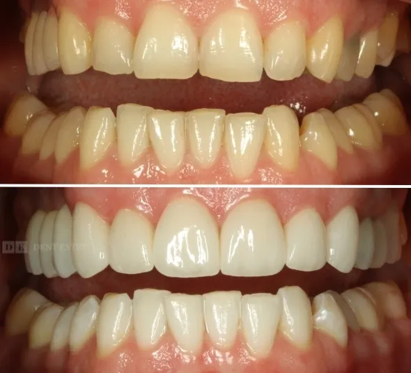
Pacienta noastră de la DENT ESTET Sibiu și-a dorit o schimbare care să nu pară artificială, iar noi am folosit tehnologia de ultimă oră tocmai pentru a obține acel aspect natural. Totul a început cu o igienizare profesională EMS Airflow®, care a pregătit dinții perfect pentru etapele următoare. Pasul cu adevărat special a fost analiza ModJaw 4D: o tehnologie care ne-a arătat exact cum se mișcă dinții ei în timp ce vorbește sau mănâncă.


Pentru partea de estetică, am ales precizia computerizată CAD-CAM. Am realizat fațete și coroane din ceramică E.MAX și Zirconiu, materiale care imită perfect dintele natural și rezistă excelent în timp. Fiecare piesă a fost frezată digital pentru a se adapta milimetric pe dinte, eliminând orice imperfecțiune. La finalul tratamentului pacientei i s-a realizat albire profesională BEYOND® Ultra, care a uniformizat nuanța zâmbetului și i-a oferit o luminozitate dinților, fără a pierde aspectul natural.


Fațete dentare
EMAX Ivoclar
Coroane dentare ceramice
procedeu CAD-CAM frezare computerizată pe suport ZIRCONIU
Analiză digitală a ocluziei dinamice 4D
Modjaw
Tratamentul ghidat al plăcii bacteriene
EXCLUSIVE EMS Airflow ® Prophylaxis Master
Tratament albire dentară profesională
BEYOND® Ultra Whitening Accelerator
Completează formularul și unul dintre asistenții noștri te va contacta pentru a programa vizita la clinică sau o consultație online.