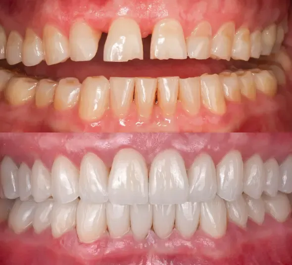
Romulus, 47 de ani, a avut o așteptare clară: să-și redescopere zâmbetul și să își recapete încrederea de sine. După 1 an și 4 luni de tratamente digitale de precizie, incluzând terapie cu laser de ultimă generație și alignere ortodontice, am obținut o transformare care vorbește de la sine.


De la dinți afectați de abraziune la un zâmbet natural și impecabil, realizat cu 24 de fațete premium personalizate Emax și 4 onlay-uri ceramice—totul păstrând sănătatea fiecărui dinte. Rezultatul? O armonie perfectă între estetică și funcționalitate.


Transformare coordonată de dr. Cosmin Ștefănescu, medic specialist în Protetică dentară și dr. Anamaria Ghiurcă, medic specialist în Parodontologie.


Tratament ortodontic cu alignere
Terapie parodontală
Laser WaterLase
Fațete PREMIUM Emax
ASPEN DIGITAL SMILE DESIGN
Dr. Cosmin Ștefănescu
Medic Specialist - Protetică Dentară
Dr. Anamaria Ghiurcă
Medic Specialist - Parodontologie
Completează formularul și unul dintre asistenții noștri te va contacta pentru a programa vizita la clinică sau o consultație online.