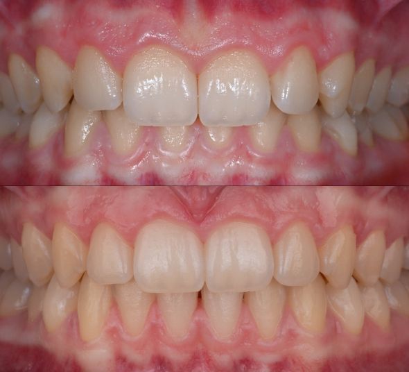
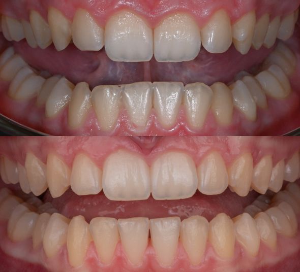
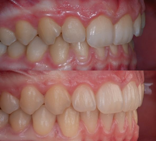
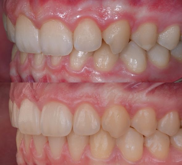
În doar 11 luni de tratament ortodontic cu alignere transparente, Sofia a obținut o aliniere completă a arcadelor și o îmbunătățire semnificativă a ocluziei. Corectarea treptată a rotațiilor și discrepanțelor de spațiu a fost planificată digital, iar fiecare set de alignere o fost conceput pentru a produce mișcări controlate și predictibile. Sub coordonarea Dr. Valeria Ștefănescu și a echipei noastre de ortodonți specializați, tratamentul a fost monitorizat periodic pentru a asigura stabilitatea rezultatelor și respectarea etapelor biomecanice.


Soluția cu alignere transparente permite o corecție ortodontică personalizată, prin modelarea 3D a poziției dentare ideale și simularea evoluției tratamentului. Avantajele clinice au inclus controlul direcției și amplitudinii fiecărei mișcări dentare, astfel au fost distribuite uniform și forțele masticatorii. În plus, alignerele i-au oferit pacientei noastre confort sporit pentru rutina de zi cu zi și o estetică discretă, fiind o alternativă eficientă la aparatele fixe convenționale.


Rezultatul final a vizat nu doar obținerea unei alinieri dentare corecte, ci și o ocluzie funcțională echilibrată, care reduce riscul de uzură ocluzală, disfuncții temporo-mandibulare și recidivă ortodontică. Prin corectarea raporturilor dintre arcade, s-a obținut o distribuție corectă a forțelor masticatorii și o estetică facială armonioasă.


Pentru noi, acest caz nu este doar despre un zâmbet frumos, ci despre procesul din spatele lui, despre răbdarea, viziunea și atenția la detalii care transformă un plan de tratament într-un rezultat autentic și durabil.


Tratament ortodontic
cu alignere
Dr. Valeria Ștefănescu
Medic Specialist Ortodonție și Ortopedie Dento-Fcaială
Completează formularul și unul dintre asistenții noștri te va contacta pentru a programa vizita la clinică sau o consultație online.