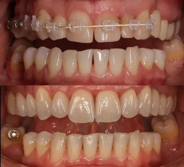
Un zâmbet armonios se construiește în timp, prin decizii corecte și etape atent coordonate. În cazul Sorinei, transformarea a fost rezultatul unei abordări complete, în care funcția, estetica și sănătatea țesuturilor au fost tratate ca un tot unitar.


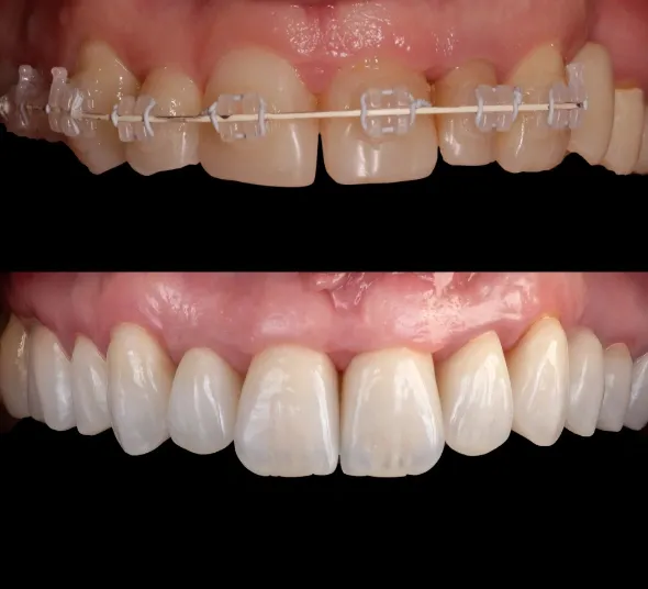
Procesul a început cu tratament ortodontic cu aparat ceramic, pentru corectarea alinierii dentare și crearea unei baze corecte pentru etapele următoare. Remodelarea țesuturilor moi, realizată prin gingivectomie și gingivoplastie, a contribuit la definirea unui contur gingival echilibrat și stabil.
Reabilitarea a continuat prin inserarea implanturilor dentare, integrate într-un plan protetic personalizat. Fațetele și coroanele dentare au fost alese și adaptate în acord cu trăsăturile pacientei, pentru un rezultat coerent și natural, iar albirea dentară a completat armonia finală a zâmbetului.


Rezultatul este un zâmbet care se așază firesc, construit etapizat, cu atenție la detalii și cu focus pe durabilitate pe termen lung.


Pentru noi, fiecare zâmbet este o responsabilitate. Îl construim astfel încât să funcționeze natural, să reflecte personalitatea pacientului și să rămână stabil în timp. Expresia unui proces atent, ghidat de experiență și respect pentru fiecare detaliu.


Amprentă digitală scanner
Trios 3Shape
Analiză digitală a ocluziei dinamice 4D
ModJaw Technology
Previzualizarea zâmbetului final
Smile Cloud
Tratament ortodontic cu aparat fix
Bracketi ceramici
Tratament albire dentară profesională
BEYOND Ultra Whitening Accelerator
Implant dentar
Fațete dentare EMAX Ivoclar
ASPEN Digital Smile Design
Coroane dentare Zirconiu
Aspen Digital Smile
Completează formularul și unul dintre asistenții noștri te va contacta pentru a programa vizita la clinică sau o consultație online.