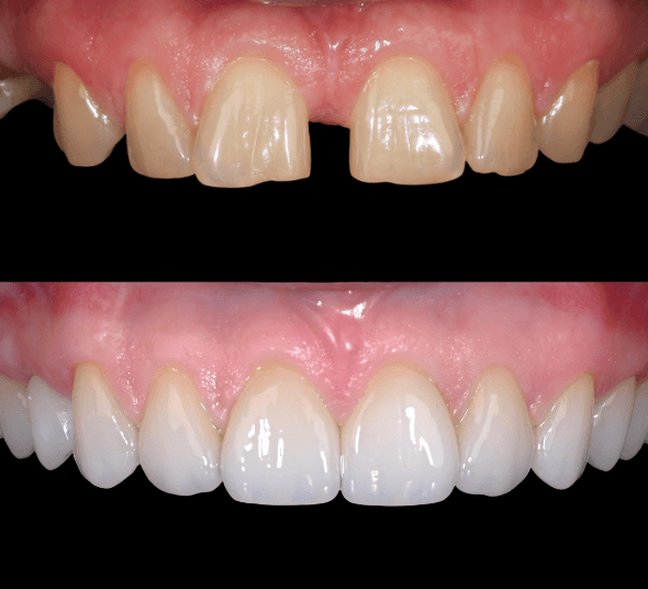
Planul de tratament conceput pentru doamna Sorina S. a inclus trei etape esențiale: ortodonție, implantologie și protetică, fiecare contribuind la rezultatul estetic obținut.


După purtarea aparatului dentar fix, aspectul dinților a fost transformat complet cu ajutorul implanturilor, coroanelor și fațetelor dentare premium - ASPEN Digital Smile Design


Transformarea doamnei Sorina S. ne amintește că zâmbetul are puterea de a schimba vieți. Cu o nouă atitudine, plină de încredere în sine și fără grija problemelor dentare, pacienta noastră emană bucurie la fiecare pas.


Amprentă digitală scanner
Trios 3Shape
Previzualizarea zâmbetului final
Tratament ortodontic
Bracketi fizionomici safir
Implant dentar STRAUMANN
BLX SLActive
Fațete PREMIUM EMAX
ASPEN Digital Smile Design
Coroane PREMIUM Zirconiu
ASPEN Digital Smile Design
Dr. Alice Gavrilescu
Medic Specialist - Chirurgie Dento-Alveolară
Dr. Delia Ciocan
Medic Specialist - Ortodonție și Ortopedie Dento-Alveolară
Th. Pavel Ciul
MDT – CDT – Expert Designer ASPEN
Completează formularul și unul dintre asistenții noștri te va contacta pentru a programa vizita la clinică sau o consultație online.