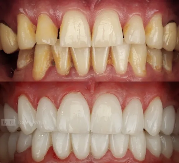
Planul de tratament pentru Ștefan L. a fost construit pe un protocol complet de reabilitare, unde etapa estetică a fost susținută de o pregătire biologică riguroasă. Am început cu o igienizare profesională completă și tratamentul ghidat al plăcii bacteriene, urmate de securizarea suportului dentar prin tratamente endodontice realizate sub microscop Leica. Această etapă a fost esențială pentru a garanta stabilitatea pe termen lung a restaurărilor finale. Pentru partea protetică, am folosit un mix de materiale premium adaptate nevoilor funcționale: fațete Emax Ivoclar pentru zona estetică, unde transluciditatea naturală este prioritară, și coroane din ceramică pe suport de zirconiu, realizate prin tehnologie CAD-CAM. Rezultatul este un zâmbet perfect echilibrat, cu o adaptare marginală milimetrică și un aspect natural care se integrează discret în trăsăturile faciale ale pacientului nostru.


Ședință completă de profilaxie
BRITE&WHITE
Tratmentul ghidat al plăcii bacteriene
Extracție molar de minte
Tratment endodontic
Microscop Leica
Fațete dentare
EMAX Ivoclar
Coroane dentare ceramice, procedeu CAD-CAM frezare computerizată pe suport de Zirconiu
Completează formularul și unul dintre asistenții noștri te va contacta pentru a programa vizita la clinică sau o consultație online.