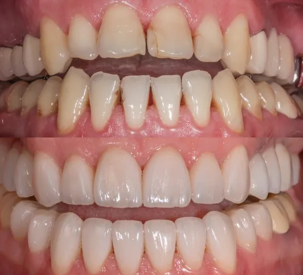
Călătoria pacientului Ștefan P. (46 ani) la #DENTESTET a început atunci când a remarcat rezultatele uimitoare obținute de soția sa. A venit cu multă încredere și cu o dorință clară: zâmbet complet reabilitat și natural


Astăzi, cucerește lumea cu zâmbetul său, fiind mai încrezător ca niciodată, iar noi suntem bucuroși că putem face parte din această poveste frumoasă!
It's never too late to regain the confidence in your smile!


Fațete dentare
EMAX
Implanturi dentare
Roxolid SL/Active
Dr. Daniela Georgescu
Estetică Dentară Avansată
Dr. Alexandru Georgescu
Medic Specialist - Parodontologie & Implantologie
Completează formularul și unul dintre asistenții noștri te va contacta pentru a programa vizita la clinică sau o consultație online.