Un zâmbet armonios nu este doar rezultatul unui tratament, ci al unei colaborări autentice între medic și pacient. Sub coordonarea Dr. Liana Andruseac, specialist în Ortodonție și Ortopedie Dento-Facială, planul a fost construit cu precizie și empatie, respectând atât echilibrul funcțional, cât și dorința pacientului pentru o estetică facială naturală și rafinată.


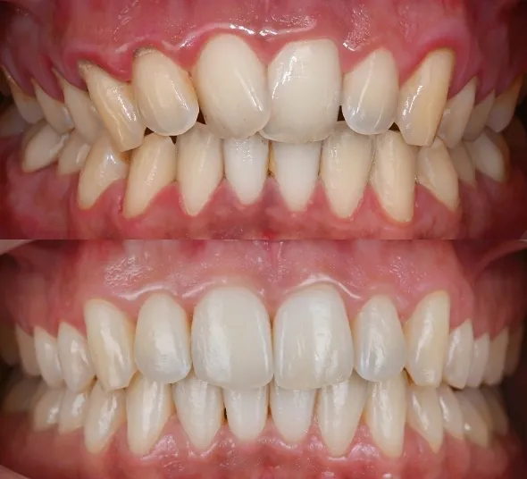
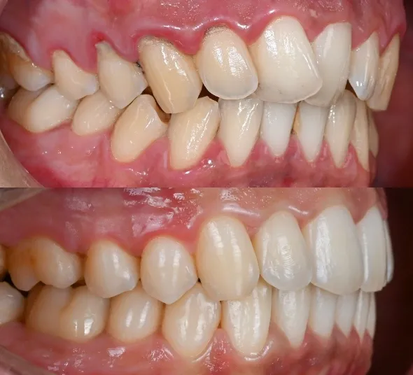
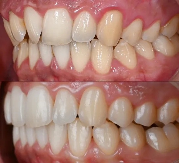
Examinarea inițială a evidențiat înghesuiri dentare severe și o arcadă îngustată, cu impact direct asupra calității vieții: dificultăți la masticație, igienă deficitară și riscuri crescute pentru sănătatea orală pe termen lung.


După extracția molarilor de minte și o analiză detaliată a cazului, s fost conturat un plan personalizat cu alignere – o soluție discretă, predictibilă și adaptată nevoilor oricărui pacient. Tratamentul a presupus purtarea a 26 de alignere, 20–22 de ore pe zi, timp de mai puțin de un an, cu rezultate vizibile și stabile.


Tratament ortodontic
Alignere
Dr. Liana Andruseac
Medic Specialist - Ortodonție și Ortopedie Dento Facială
Completează formularul și unul dintre asistenții noștri te va contacta pentru a programa vizita la clinică sau o consultație online.